Especialista destacado en Neurocirugía

|

|

Cirugía endoscópica para tumor en la hipófisis en Barcelona

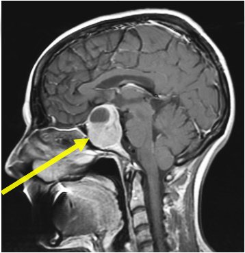
Tumor en la hipófisis en Barcelona

La cirugía endoscópica para tumor en la hipófisis se realiza a través del seno esfenoidal, un espacio hueco en el cráneo que se encuentra detrás de los conductos nasales (debajo del cerebro), y cuya pared posterior “envuelve” a la Glándula Pituitaria.