En Barcelona, el Dr. José Poblete Carrizo, neurocirujano, está especializado en el Tratamiento de Fracturas cervicales.
Recientemente, el Dr. José Poblete tuvo la oportunidad de tratar un caso complejo de fractura cervical que ilustra la importancia de una intervención quirúrgica oportuna y precisa. A continuación, detallamos el proceso y las imágenes diagnósticas que le permitieron llevar a cabo una cirugía exitosa.
Una fractura cervical es una ruptura en uno de los siete huesos cervicales que forman la columna vertebral en el cuello. Estas fracturas pueden variar desde simples fisuras hasta desplazamientos severos de los cuerpos vertebrales, que pueden comprometer la médula espinal y causar daños neurológicos graves. Las causas más comunes de fracturas cervicales incluyen accidentes automovilísticos, caídas, lesiones deportivas y traumatismos directos en el cuello.
Las fracturas cervicales pueden tener una amplia gama de consecuencias, dependiendo de la gravedad de la lesión. Algunos de los posibles efectos incluyen:
Paciente que sufre una caída desde un árbol, presentando dolor cervical sin déficit neurológico. Solo se reportó dolor en la zona cervical.

– La radiografía mostró una fractura-luxación de columna cervical traumática a nivel C4-C5.

– El TAC reveló el desplazamiento de los cuerpos vertebrales y la compresión medular, lo cual confirmó la severidad de la lesión.

– La RMN proporcionó una mejor visualización del cordón medular, mostrando compresión por la luxación sin signos de sangrado ni edema medular.

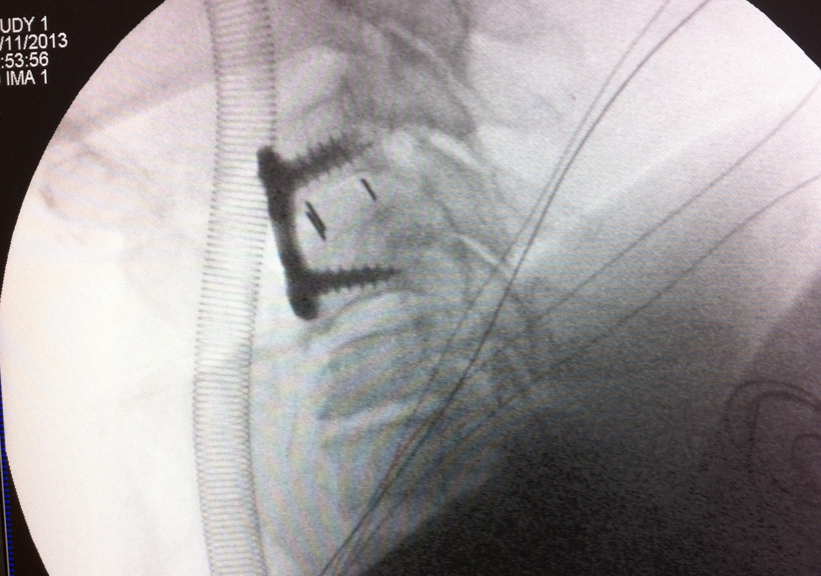
– Durante la intervención, las radiografías intraoperatorias confirmaron la correcta alineación de los cuerpos vertebrales tras la reducción de la luxación.

– Observamos el resultado quirúrgico, incluyendo la cistectomía cervical y artrodesis cervical vía anterior con la colocación de caja y placa cervical.

– A las 24 horas postoperatorias, el paciente se encontraba totalmente asintomático y sin déficit neurológico.
El tratamiento de las fracturas cervicales depende de la naturaleza y severidad de la fractura. En casos menos graves, el tratamiento puede incluir:
– Inmovilización: Uso de collarines o dispositivos de inmovilización cervical para permitir que la fractura sane.
– Rehabilitación Física: Ejercicios y terapias para recuperar la movilidad y fortalecer los músculos del cuello.
En casos más graves, como el que presentamos, puede ser necesario un tratamiento quirúrgico. La cirugía tiene como objetivo realinear las vértebras, estabilizar la columna y descomprimir la médula espinal si es necesario.
El Dr. José Poblete, especialista en neurocirugía, cuenta con una amplia experiencia en el tratamiento de fracturas cervicales y otras lesiones de la columna vertebral. Su enfoque integral y personalizado asegura que cada paciente reciba el tratamiento más adecuado según sus necesidades específicas.
Si necesitas más información sobre el tratamiento de fracturas cervicales en Barcelona o deseas agendar una consulta, no dudes en contactarlo.
Artículo escrito por Sonia Arz Sola